Il filler per i tuoi denti
Tecnica
ad iniezione
La tecnica ad iniezione offre una soluzione completa e personalizzata, pensata per valorizzare la tua salute orale in modo globale e duraturo. Non dovrai più preoccuparti di interventi invasivi, risultati temporanei o ripetute visite dal dentista. È la soluzione definitiva per il tuo sorriso.
Questa tecnica prevede l'aggiunta di composito che va a ripristinare la forma naturale del tuo dente senza doverlo devitalizzare e limare.
Si tratta di un metodo non invasivo e molto meno costoso sia in termi biologici che economici.
Un approccio rivoluzionario che mette te e la tua salute al centro di tutto.
Fa per te
se...
- Vuoi semplicemente migliorare il tuo sorriso
- Hai i denti usurati e rovinati e non mastichi più bene
- Ti senti insicuro quando sorridi per via di denti danneggiati o abrasi
- Sei stanco di passare da un dentista all'altro, in cerca di una soluzione definitiva ai tuoi problemi dentali
- Temi l'impatto di procedure dentistiche invasive che potrebbero compromettere ulteriormente la tua salute orale


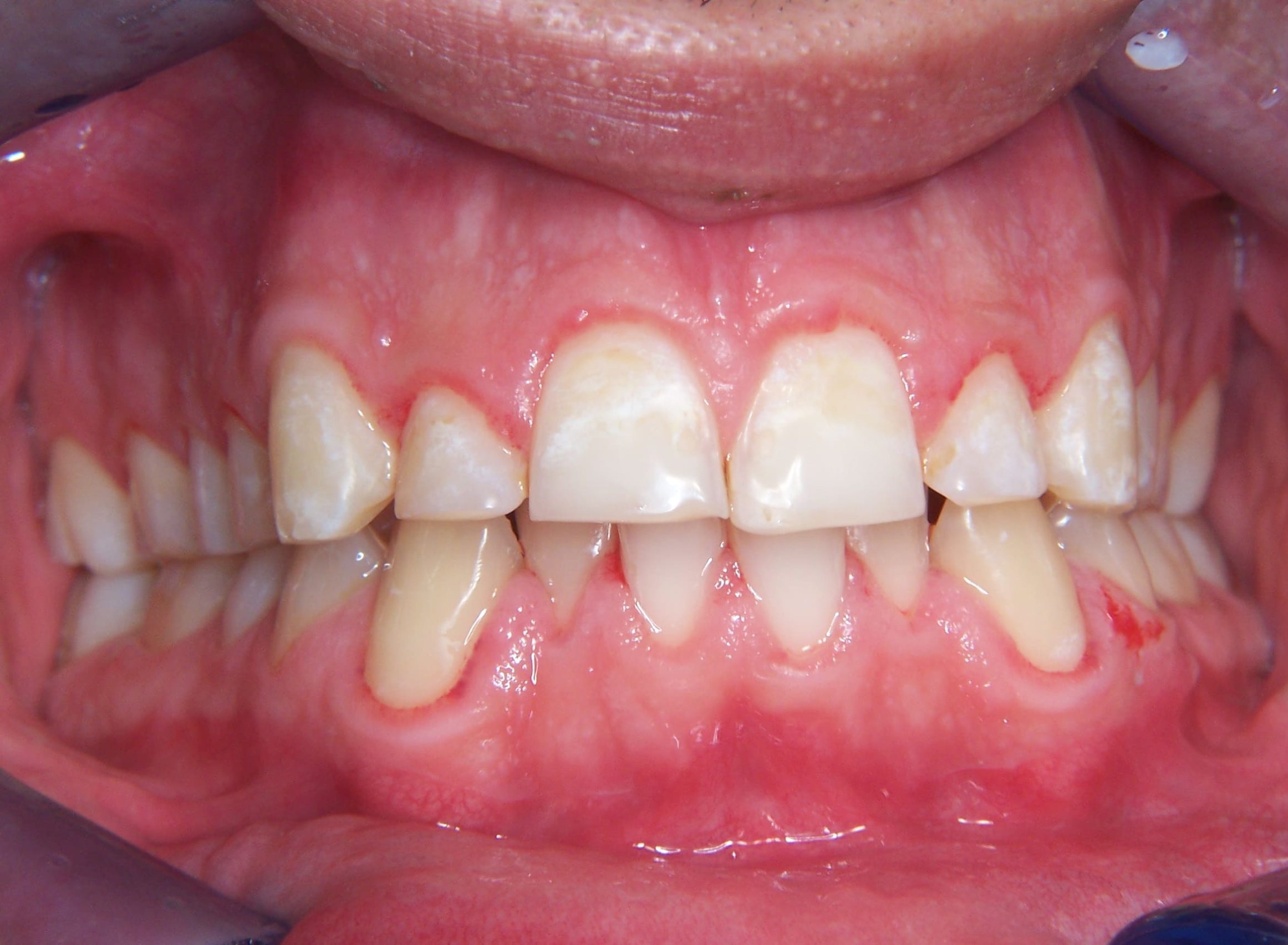
Prima
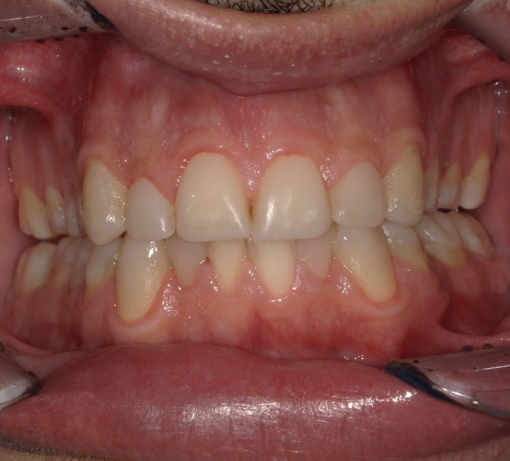
Dopo


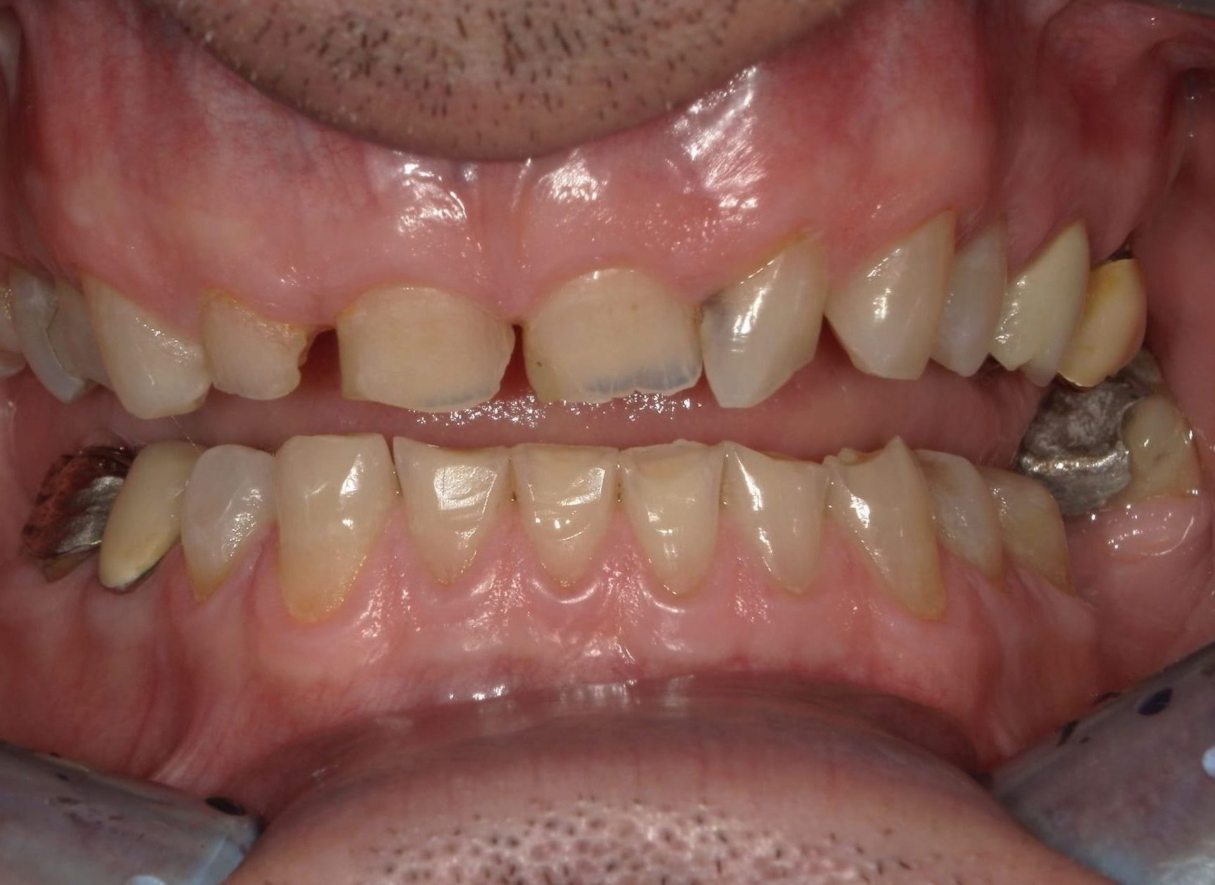
Prima
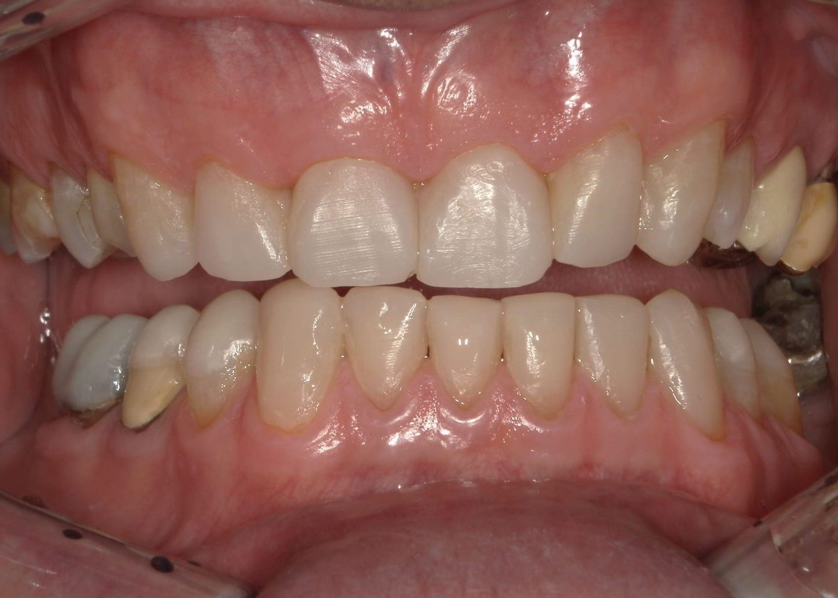
Dopo


Prima
Dopo


Prima
Dopo


Prima
Dopo


Prima
Dopo
Gli
step
Visita e diagnosi
Il primo passo della tecnica ad iniezione prevede una visita iniziale durante la quale verrà presa digitalmente la tua impronta dentale che sarà utilizzata per la progettazione e fabbricazione della mascherina in laboratorio.
Mockup e previsualizzazione
Il secondo passo prevede un’aggiunta immediata di composito fluido ad iniezione che ti permette di confermare e previsualizzare il possibile risultato finale.
In questo modo puoi tornare a casa con una nuova struttura dentale e “provarla” per qualche gioerno nella tua vita quotidiana.
Iniezione e rifinitura
Durante questo appuntamento iniziamo la ricostruzione additiva dei tuoi denti e perfezioniamo la componente estetica
Al termine della seduta effettueremo un controllo finale della masticazione, per assicurarci che il sorriso sia non solo bello, ma anche funzionale.
Controlli finali
Durante questo appuntamento iniziamo la ricostruzione additiva dei tuoi denti e perfezioniamo la componente estetica
Al termine della seduta effettueremo un controllo finale della masticazione, per assicurarci che il sorriso sia non solo bello, ma anche funzionale.
F.A.Q.
Quanto tempo richiede la tecnica ad iniezione?
La durata del trattamento può variare a seconda dell’entità dell’aggiunta e se la riabilitazione riguarda una o entrambe le arcate. Tuttavia, in generale, la riabilitazione del tuo sorriso sarà completa in 4-5 appuntamenti.
Richiede la devitalizzazione dei denti?
No, a differenza di altre tecniche, la tecnca ad iniezione non richiede la devitalizzazione dei denti molto consumati. Questo preserva la salute e la vitalità dei tuoi denti per un periodo di tempo più lungo.
Che cosa succede se il composito si stacca?
In caso di piccoli distacchi del composito, possiamo facilmente effettuare delle riparazioni. Questo evita problemi più gravi come la devitalizzazione dei denti o la rottura della ceramica.
La tecnica ad iniezione è adatta a me?
La tecnica ad iniezione è adatta a una vasta gamma di pazienti che cercano di migliorare la loro salute orale e l’estetica del loro sorriso. Per scoprire se questo metodo è la scelta giusta per te, ti invitiamo a prenotare una prima visita con la Dott.ssa Paola Pescio e il suo team.
Perchè sceglierla?
Rispetto per la vita dei denti
La durata del trattamento può variare a seconda dell’entità dell’aggiunta e se la riabilitazione riguarda una o entrambe le arcate. Tuttavia, in generale, la riabilitazione del tuo sorriso sarà completa in 4-5 appuntamenti.
Conservazione
Crediamo nella conservazione della tua struttura dentale naturale. Non limiamo i tuoi denti, ma li ripristiniamo con attenzione alla loro forma originale. Questo rispetto per la tua biologia si traduce in un risparmio non solo per la tua salute, ma anche economico e di tempo.
Risultati immediatamente visibili
In soli 4-5 appuntamenti, la riabilitazione del tuo sorriso sarà completa. Il numero di visite è direttamente correlato all’entità dell’aggiunta e se la riabilitazione riguarda una o entrambe le arcate.
Adattabilità
La tecnica ad iniezione tiene conto del fatto che la tua dentatura cambia con il passare degli anni, grazie all’avanzamento progressivo della mandibola. Mentre le riabilitazioni classiche in ceramica possono creare problemi di fratture, il composito si usura gradualmente, proteggendo i tuoi denti da problemi più seri.
Il tuo sorriso è il nostro obiettivo, il tuo compito è preservarlo con il mantenimento domiciliare

